
Behandlungsablauf
Wenn nach sorgfältiger zahnärztlicher und allgemeinärztlicher Untersuchung eine Implantatversorgung möglich ist, erstellen wir einen individuellen Therapieplan, der sich nach der Ausgangssituation richtet und dabei sowohl die Behandlungsmöglichkeiten als auch die Wünsche des Patienten berücksichtigt. Eine möglichst optimale Versorgung wird von uns gewährleistet, da einerseits die chirurgischen und andererseits die prothetischen Behandlungsstrukturen aus einer Hand abgedeckt werden können.
Anhand der Qualität und Quantität des vorhandenen Knochenangebots wird der Sitz und die Anzahl der Implantate festgelegt. Durch die feine Abstufung der Implantatgrößen in Länge und Dicke ist eine exakte Anpassung möglich. Hier werden auch die Möglichkeiten eines festsitzenden oder herausnehmbaren Zahnersatzes bereits vorausgeplant.
Computergestützte Planung
Mittels Auswertung von geeigneten Röntgenaufnahmen und Kiefermodellen wird ein individuelles Operationsprotokoll festgelegt. Bei schwierigen Fällen mit schwer diagnostizierbaren Knochenstrukturen kann mit Hilfe der Computertomografie (CT) oder Volumentomografie (DVT)

eine exakte Auswertung über eine spezielle Software in unserer Praxis erfolgen. Bei geeigneten Knochenverhältnissen kann eine CT-Auswertung für die neuartige NobelGuide - Operationstechnik verwendet werden. Dabei erfolgt die Implantation ohne Skalpell und Naht! (siehe 3-D-Implantatplanung)
Operations-Bohrschablone
Nach der Analyse der Modelle wird gemeinsam die optimale Position für die Implantate festgelegt. Daraufhin fertigt der Zahntechniker eine entsprechende Operations-Bohrschablone an, die dann beim Einsetzen der Implantate verwendet wird. Von Anfang an findet eine enge Zusammenarbeit mit unserem Zahntechnikermeister statt, der dann schließlich die geeignete Oberkonstruktion für die Implantate bereitstellt.

Im Rahmen der Vorbehandlung müssen zunächst kariöse Zähne, Zahnbett- und Zahnfleischerkrankungen behandelt werden. Denn ein gut saniertes und gepflegtes Gebiss erhöht die Erfolgsaussichten einer Implantation. Die eigentliche Implantation erfolgt in der Regel ambulant; es genügt in den meisten Fällen eine örtliche Betäubung.
Ein kurzer Eingriff

Bei dem Eingriff wird die Schleimhaut über dem Kieferknochen mit einem Schnitt eröffnet und mit Spezialbohrern das „Bett“ für die Implantate schonend und mit exaktem Instrumentarium vorbereitet. Das Implantat wird eingesetzt und die Schleimhaut wird dicht über ihm vernäht. Patienten sollten das Wundgebiet nach dem Eingriff kühlen. Je nach persönlicher Veranlagung kann es zu Schwellungen und Blutergüssen kommen, die zwei bis drei Tage anhalten, in Ausnahmefällen auch bis zu einer Woche. Die Fäden werden nach acht bis zehn Tagen entfernt. (Bitte beachten Sie hierzu auch unsere Praxismerkblätter „Verhaltensregeln nach operativen Eingriffen“ und „Einsatz eines Implantates und Verhalten nach der Behandlung“).

Während der Einheilphase, die meist zwischen drei und sechs Monaten beträgt, wächst der Knochen dicht an die Implantatoberfläche heran. In dieser Zeit sollte es nicht belastet werden. Die individuelle Einheildauer hängt von der Knochenqualität ab. In der Regel ist die Knochenstruktur im Unterkiefer etwas kompakter als im Oberkiefer, so dass die knöcherne Einwachsung dort ein wenig rascher abgeschlossen ist. Bei Bedarf hält eine provisorische Versorgung die Kaufähigkeit während der Einheilphase aufrecht. Bei ungünstiger Stabilitätslage ist dies sogar mit „provisorischen Implantaten“ (IPI®) möglich. Sie sorgen dann für einen sofortigen, stabilen Halt. In speziellen Fällen lässt sich ein Implantat auch sofort nach dem Einsetzen belasten – etwa beim versorgen zahnloser Unterkiefer und manchmal auch bei Einzelzähnen. Nach der Einheilung wird das Implantat wieder freigelegt, das heißt die Durchtrittsstelle des Implantatkopfes durch die Schleimhaut wird so gestaltet, dass das Metall des Implantats nicht sichtbar ist.

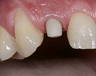
Es wird dann in ein vorgesehenes Gewinde im Implantatkörper der Aufbaupfosten („Abutment“) eingeschraubt, der nun den Zahnersatz trägt. Dies können sowohl einzelne Kronen, festsitzende Brücken oder auch herausnehmbarer Ersatz sein, der durch die Implantate einen sehr sicheren Halt bekommt.

Wir sind heute in der Lage, bei nahezu jeder Knochensituation Implantate einzusetzen und Kronen darauf einzugliedern, die von natürlichen Zähnen fast nicht zu unterscheiden sind.
Hierzu verwenden wir auch mikrochirurgische Schleimhautoperationstechniken, da die rote Ästhetik (Zahnfleisch) genauso wichtig ist wie die weiße Ästhetik (Zähne).
